Cosmetic Dental Implants
Restore Your Smile with Confidence: Dental Implants in Tacoma and Surrounding Areas
Missing teeth can impact more than just your bite; they can affect your confidence, your speech, and even the health of your remaining teeth. Dental impacts can offer a lasting solution.
Unlike more temporary solutions, like dentures, implants are designed to function like your own natural teeth, helping you eat comfortably, speak clearly, and smile with confidence again.
At Plancich Dental, we use modern restorative dentistry techniques to replace missing teeth with stable, long-lasting tooth replacement options that support your long-term oral health and overall quality of life.
What Are Dental Implants?
A dental implant is a small biocompatible titanium post placed into the jawbone where a tooth is missing. This post acts like an artificial tooth root and becomes the foundation for your new tooth.
Once healing takes place, a connector piece called an abutment is attached to the implant, and a custom crown, bridge, or prosthesis is placed on top to create a natural-looking result.
Because implants are anchored directly into bone, they help preserve the jaw and prevent the bone loss that often happens after tooth loss.

Why Choose Dental Implants?
Think of your natural tooth as a tree. The crown is what you see above ground (in your mouth), but the root is what anchors it (under your gums), keeping it strong and stimulating the bone. When you lose a tooth, you don’t just lose the crown; you lose that crucial root.
This is where dental implants shine.
They’re not just replacements for the visible part of your tooth; they are the closest thing science has to replicating a natural tooth’s root. Made from biocompatible materials, typically titanium, these small posts are surgically placed into your jawbone, where they fuse with the bone in a process called osseointegration.
This creates an incredibly stable foundation for a custom-made crown, bridge, or even a full arch of teeth. The result? A restoration that looks, feels, and functions just like your own natural teeth. No more worrying about slipping dentures, no more avoiding your favorite foods, just a strong, healthy smile.
The Implant Process: What to Expect
Embarking on your dental implant journey is a phased approach, designed to ensure optimal results and your comfort throughout. It typically begins with a thorough consultation, where we use advanced imaging to assess your bone density and overall oral health.
If implants are right for you, we plan each step meticulously to keep your long-term success in mind. Here’s what the typical process looks like step-by-step:
Step 1: Consultation and Treatment Plan
We take X-rays to determine if you have bone loss from missing teeth. The surgery can sometimes require bone grafting because when natural teeth are missing, patients can experience bone loss.
This step also helps us create a personalized treatment plan based on your needs.
Step 2: Implant Placement
If teeth need to be removed, the procedure begins with tooth extraction. Next, an abutment is placed in the jawbone where the tooth root would normally be.
This is done carefully and comfortably, often using local anesthesia or sedation when needed. If necessary, antibiotics are used to prevent infection following the procedure.
Step 3: Healing and Osseointegration
Over the next several months, the implant fuses with the bone through a process called osseointegration. This is what gives implants their long-term stability.
It can take four to six weeks for the gums to heal completely. Strict oral health care is important to prevent infection and ensure that your new teeth last!
Who Are Dental Implants For?
Dental implant surgery is for people with missing teeth or painful natural teeth who would like an alternative to dentures or partial dentures.
Dental implants work best when you have:
- Healthy gums
- Good general oral health
- Enough bone to support implant placement
- A commitment to long-term proper care, including brushing, flossing, and regular checkups
If there has already been bone loss, you may still qualify through bone grafting, which helps rebuild the area before implant placement.
Even if you’ve been told you are not a candidate before, it is worth having a conversation. Many patients have more options than they realize.
What Are The Pros and Cons of Dental Implants?
Dental implants, when cared for properly, can be a permanent solution to tooth loss, whereas dentures may need replacing several times over the course of your life.
However, the crowns, or synthetic teeth, placed upon the abutment, may need to be replaced over time due to normal wear and tear. With proper care, they can last many years.
People with certain health conditions may find that dental implants fail prematurely. You will want to consult with an dental implant specialist, like Plancich Dental, to know for sure if you are a good candidate.
Meet Our Experienced Dental Implant Team
Our team in Tacoma is passionate about helping you achieve your best smile. We combine years of specialized training in implant dentistry with a genuine commitment to patient care. We believe that exceptional results come from a blend of advanced techniques, state-of-the-art technology, and a compassionate approach. From your initial consultation to your final restoration, you’ll be guided by professionals who prioritize your health, comfort, and satisfaction. We’re here to answer every question and address every concern, ensuring you feel empowered and informed at each stage.
Our Commitment to Your Comfort
We understand that dental procedures can sometimes cause anxiety. That’s why we’ve designed our Tacoma office to be a welcoming and calming environment. Our team goes above and beyond to ensure your comfort, offering various options to help you relax during your procedure.
Hear From Our Satisfied Patients
“I have needed a lot of dental work in my 68 years, and Dr. Plancich is the best dentist I’ve worked with. He explains things very well, is quick and thorough, with excellent judgement, kind consideration of patient needs, and clarity of expectations. Dental assistants, technicians, and office support are excellent as well.” — Michael B.
“…Amazing results. No one can tell, looks and feels great!” – Nancy S.
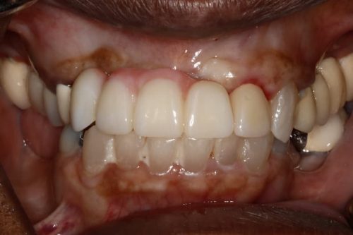
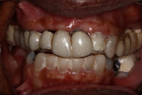
Before & After Gallery: See the Transformations
Understanding the Cost of Dental Implants
Dental implants are an investment in your health, confidence, and long-term well-being. While the initial cost might seem higher than other options, it’s crucial to consider the enduring benefits, such as their longevity, stability, and the prevention of further bone loss. The exact cost varies depending on several factors: the number of implants needed, the complexity of the case (e.g., bone grafting requirements), and the type of restoration (single crown, bridge, or full arch).
During your consultation, we’ll provide a detailed, transparent estimate tailored to your specific treatment plan, ensuring you understand every aspect of your investment.
Insurance and Financing Options
Navigating insurance can feel overwhelming, but we’re here to help. Our administrative team will work closely with you to understand your dental insurance benefits and maximize any coverage you may have for your implant procedure.
Dental Implants vs Dentures
When considering tooth replacement, two primary options often emerge: dental implants and traditional dentures. While both address missing teeth, their approach and long-term impact differ significantly.
Implants
Dental implants are fixed, permanent solutions anchored directly into your jawbone. They act as artificial tooth roots, providing unparalleled stability, preventing bone loss, and allowing you to eat, speak, and smile with complete confidence – just like natural teeth. There’s no slipping, no need for adhesives, and they don’t impact the health of adjacent teeth. They are a long-term investment, often lasting a lifetime with proper care.
Dentures
Traditional dentures are removable appliances that rest on your gums. While they can restore some chewing function and aesthetics, they often come with limitations. They can slip, require adhesives, may need frequent adjustments, and don’t prevent the underlying bone loss that occurs when teeth are missing. Over time, this bone loss can lead to changes in facial structure and affect the fit of your dentures.
Common Questions About Dental Implants
We know you have questions, and that’s a good thing! Understanding your treatment is key to feeling confident about your choices.
Am I a candidate for dental implants?
Most healthy adults with sufficient bone density are excellent candidates for dental implants. However, factors like overall health, certain medical conditions, and habits like smoking can influence suitability. A comprehensive evaluation by our Tacoma dental implant specialists is the best way to determine if implants are right for you.
How long do dental implants last?
With proper oral hygiene and regular dental check-ups, dental implants are designed to be a long-term, often lifelong, solution. The implant itself, integrated into the bone, can last for many decades, while the crown or restoration may need replacement after 10-15 years due to normal wear and tear.
Is the dental implant procedure painful?
Most patients report minimal discomfort during and after the dental implant procedure. We use local anesthesia to ensure you are completely numb during the placement, and sedation options are available for added comfort. Post-procedure discomfort is typically managed effectively with over-the-counter pain relievers.
What is the recovery time?
Initial recovery from implant placement usually takes a few days, with most patients returning to their normal activities within a day or two. The crucial healing phase, where the implant integrates with your bone (osseointegration), can take 3-6 months.
Typical healing includes:
- Mild soreness for a few days
- Soft foods early on
- A few simple follow-up visits
- Monitoring healing progress carefully
How long does the full process take?
From initial consultation to final crown placement, the entire dental implant process can range from 4 to 9 months, depending on individual healing time, the need for bone grafting, and the complexity of your case. We prioritize a thorough and effective process over speed.
Can implants fail?
While dental implant success rates are exceptionally high (over 95%), failure is rare but possible. Factors like poor oral hygiene, smoking, certain medical conditions, or insufficient bone integration can contribute to failure. We take every precaution to minimize these risks and ensure the highest chance of success.
Start With A Consultation
If you’re in Tacoma and considering dental implants, the first step is a conversation. We’re here to listen to your concerns, answer your questions, and develop a personalized treatment plan that restores your smile and improves your quality of life.
Schedule Your Appointment Today
Don’t let missing teeth hold you back any longer. Contact us today to schedule your comprehensive dental implant consultation. Let’s explore how we can help you regain your confidence with a beautiful, functional, and healthy smile.
Request an AppointmentOur Convenient Tacoma Location
2312 N. 30th Street, #201
Tacoma, WA 98403
253-387-1346
Our Practice
Use our online form and we will help you find a time that fits your schedule.
Learn More